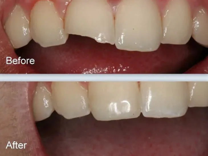
Mẻ răng cửa là tình trạng răng bị gãy 1 phần. Điều này không chỉ ảnh hưởng đến tính thẩm mỹ của hàm răng mà còn tạo điều kiện cho vi khuẩn xâm nhập, gây hại cho sức khỏe răng miệng.
Vì vậy, cần có biện pháp khắc phục phù hợp để bảo vệ răng và duy trì chức năng ăn nhai ổn định. Mẻ răng cửa khắc phục như nào tốt nhất? Hãy cùng bác sĩ tại Nha khoa Vân Anh phân tích.
MỤC LỤC
Nguyên nhân mẻ vỡ răng cửa phổ biến hiện nay
Mẻ vỡ răng cửa là tình trạng răng cửa bị tổn thương, nứt hoặc gãy một phần do nhiều nguyên nhân khác nhau. Một số nguyên nhân phổ biến gây mẻ răng cửa gồm:
1. Chấn thương, tai nạn
Tai nạn giao thông, té ngã hoặc va đập mạnh vào răng cửa có thể làm răng bị nứt, gãy mẻ.
Chơi thể thao không có dụng cụ bảo vệ răng (như khi đá bóng, bóng rổ, võ thuật,…) dễ khiến răng bị tổn thương.

2. Nhai đồ ăn cứng
Thói quen cắn đá, nhai xương, kẹo cứng, hạt dưa, hạt óc chó có thể gây áp lực lớn lên răng cửa, dẫn đến nứt hoặc mẻ răng.
Một số loại thực phẩm quá nóng hoặc quá lạnh làm răng giãn nở, dễ nứt theo thời gian.
3. Sâu răng và bệnh lý răng miệng
Sâu răng khiến phá hủy men răng, làm răng yếu đi và dễ bị mẻ vỡ ngay cả khi nhai thức ăn mềm.
Viêm tủy răng, viêm nha chu khiến răng suy yếu, dễ bị tác động từ bên ngoài.
4. Thói quen nghiến răng
Nghiến răng khi ngủ hoặc khi căng thẳng tạo áp lực lớn lên răng cửa, gây mòn men răng và làm răng dễ gãy, nứt.
5. Răng bị thoái hóa theo tuổi tác
Ở người lớn tuổi, men răng bị mài mòn dần theo thời gian, làm răng yếu đi và dễ bị tổn thương hơn, nhất là răng cửa.
6. Điều trị nha khoa không đúng cách
Trám răng, bọc răng sứ kém chất lượng có thể gây nứt hoặc mẻ răng sau một thời gian sử dụng.
Làm trắng răng với hóa chất mạnh không đúng cách có thể làm suy yếu men răng.
Răng cửa bị mẻ có mọc lại được không?
Ở người trưởng thành, tất cả các răng vĩnh viễn đều được cấu tạo bởi 3 thành phần là tủy răng, ngà răng và men răng (chỉ sinh ra một lần).
Vậy nên bị mẻ răng cửa không thể tự mọc lại, vì răng vĩnh viễn không có khả năng tái tạo men răng hay tự phục hồi như một số bộ phận khác của cơ thể.
Khi răng bị mẻ, phần mô răng đã mất đi sẽ không tự tái sinh.

Cách phục hồi răng cửa bị mẻ tại nhà
Nếu răng bị mẻ nhẹ, bạn có thể áp dụng một số cách tại nhà để hạn chế tình trạng tổn thương nặng hơn.
Tuy nhiên, đây chỉ là giải pháp tạm thời, bạn vẫn nên đến nha khoa để được kiểm tra và điều trị kịp thời.
1. Dùng kem đánh răng chứa fluoride: Giúp tái khoáng men răng, hạn chế răng bị mẻ nặng hơn. Nên chọn kem đánh răng dành cho răng nhạy cảm để giảm ê buốt.
2. Súc miệng bằng nước muối: Giúp sát khuẩn, ngăn ngừa vi khuẩn tấn công vào vị trí răng bị mẻ. Nên pha nước muối loãng hoặc dùng nước muối sinh lý súc miệng 2–3 lần/ngày.
3. Hạn chế thực phẩm cứng, quá nóng hoặc quá lạnh: Để tránh làm răng bị tổn thương thêm. Nên ăn thức ăn mềm như cháo, súp, trái cây mềm…
4. Dùng sáp nha khoa (Dental Wax) để bảo vệ răng
Nếu răng bị mẻ sắc nhọn, bạn có thể dùng sáp nha khoa để che tạm vị trí bị mẻ, tránh làm tổn thương nướu và lưỡi. Tuy nhiên, đây chỉ là biện pháp tạm thời, bạn vẫn cần đến nha khoa để điều trị.
5. Dùng tỏi hoặc tinh dầu đinh hương để giảm đau: Tỏi có tính kháng khuẩn, giúp giảm viêm. Tinh dầu đinh hương có thể làm dịu cơn đau nếu răng bị ê buốt.
6. Bổ sung canxi và vitamin D: Giúp răng chắc khỏe hơn, hạn chế tình trạng men răng yếu dẫn đến mẻ răng. Bên cạnh đó, nên bổ sung nguồn thực phẩm giàu canxi: Sữa, phô mai, rau xanh, cá hồi…
Nếu răng bị mẻ lớn, ê buốt kéo dài hoặc có dấu hiệu nhiễm trùng, bạn nên đến nha sĩ ngay để được tư vấn phương pháp phục hình phù hợp
Những phương pháp phục hình răng mẻ hiện nay
Tùy vào mức độ tổn thương răng, ta có thể sử dụng các phương pháp phục hình răng mẻ phổ biến sau:
1. Trám răng thẩm mỹ (Composite)
Trám răng thẩm mỹ phù hợp với răng bị mẻ nhỏ, vết mẻ không quá lớn.
Ưu điểm: Nhanh chóng, chi phí thấp từ 200k – 500k/răng tùy chất liệu, ít xâm lấn răng thật.
Nhược điểm: Độ bền không cao, có thể bị bong sau một thời gian sử dụng.

2. Dán sứ Veneer
Dán sứ Veneer phù hợp với răng mẻ nhẹ, cần phục hồi cả thẩm mỹ và chức năng.
Ưu điểm: Mỏng, tự nhiên, không cần mài răng nhiều, độ bền cao.
Nhược điểm: Chi phí cao hơn trám răng (từ 5 triệu trở lên tùy chất liệu), không áp dụng cho răng mẻ quá lớn.

3. Bọc răng sứ
Bọc răng sứ phù hợp với răng mẻ lớn, vết nứt làm yếu răng.
Ưu điểm: Bảo vệ răng tối đa, độ bền cao, thẩm mỹ tốt.
Nhược điểm: Cần mài răng thật, chi phí cao hơn so với trám răng (từ 1 triệu – 12 triệu/răng tùy chất liệu).

4. Làm cầu răng sứ
Cầu răng sứ phù hợp với trường hợp răng mẻ nghiêm trọng, không thể bảo tồn bằng các phương pháp trên.
Ưu điểm: Phục hồi hoàn toàn chức năng ăn nhai, thẩm mỹ tốt.
Nhược điểm: Yêu cầu mài răng nhiều, có thể ảnh hưởng đến răng bên cạnh.
Chi phí khắc phục 1 răng mẻ phải sử dụng cầu 3 răng sứ với giá từ 1 triệu – 12 triệu/1 răng tùy chất liệu.

5. Cấy ghép Implant
Trồng răng implant phù hợp với răng mẻ quá nặng, không thể bảo tồn, buộc phải nhổ bỏ.
Ưu điểm: Độ bền cao, thay thế hoàn toàn chức năng của răng thật.
Nhược điểm: Chi phí cao (từ 10 triệu/răng), cần thời gian hồi phục từ 2 -3 tháng.
Xem thêm: Những trường hợp có thể trồng được Implant?


Kết
Khi bị mẻ răng cửa hay bất kì răng nào khác, bạn nên đến các cơ sở, phòng khám nha khoa uy tín để được bác sĩ thăm khám và đưa ra phương án điều trị phù hợp nhé.
Nếu bạn còn băn khoăn đến vấn đề mẻ răng hay bất cứ vấn đề gì liên quan đến sức khỏe răng miệng, hãy liên hệ ngay với chúng tôi nhé! Đội ngũ y bác sĩ tại Nha khoa Vân Anh sẵn sàng giải đáp thắc mắc của bạn.
ĐĂNG KÝ TƯ VẤN
Đặt lịch tư vấn với Chuyên gia hơn 14 năm kinh nghiệm trồng răng Implant

