Viêm lợi là căn bệnh phổ biến rất nhiều người mắc phải. Viêm lợi không chỉ làm tổn thương đến răng mà còn gây nên nhiều tác động đến sức khỏe.
Cùng tìm hiểu về bệnh viêm lợi và lắng nghe những lời khuyên từ Nha khoa Vân Anh nhé!!
MỤC LỤC
Viêm lợi là gì?
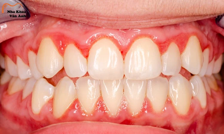
Viêm lợi (hay còn gọi là viêm nướu) là tình trạng lợi bị viêm, thường có thể do vi khuẩn dẫn đến lợi sưng, chảy máu chân răng, hôi miệng.
Nếu không được điều trị, nó có thể chuyển nặng hơn thành viêm nha chu

Theo Hiệp hội Nha khoa Hoa Kỳ, viêm nướu và viêm nha chu là nguyên nhân chính dẫn đến tình trạng mất răng ở người lớn.
Nếu bạn bị mất răng do viêm lợi hay viêm nha chu, bạn sẽ cần trồng lại răng để đảm bảo ăn nhai và không ảnh hưởng đến các răng khác.
Xem ngay: Hậu quả của việc mất răng
Biểu hiện của viêm lợi
Nhiều người không biết rằng họ bị viêm lợi.
Hãy để ý những dấu hiệu sau đây để biết bạn có đang bị viêm lợi không nhé:
- Lợi đỏ, mềm hoặc bị sưng
- Lợi bị chảy máu khi đánh răng hoặc khi dùng chỉ nha khoa
- Nướu bị tụt dần ra khỏi răng của bạn
- Răng lung lay
- Sự thay đổi khớp cắn (sai khớp cắn)
- Đau khi nhai
- Răng nhạy cảm
- Hơi thở có mùi hôi không biến mất sau khi bạn đánh răng
Nếu bạn đang gặp một trong các biểu hiện trên, hãy đến gặp nha sĩ để được kiểm tra và tư vấn.
Viêm lợi có thể giải quyết dễ dàng ở giai đoạn đầu. Nếu để phát triển mạnh hơn thành viêm nha chu, phần chân răng sẽ sưng to, chảy máu nhiều hơn và phần lợi có xu hướng chuyển sang màu sẫm, tách ra khỏi răng.
Khi đó, răng có xu hướng lung lay, nếu không điều trị kịp thời thì có nguy cơ bị mất răng.
Bạn có thể liên hệ với chúng tôi để được tư vấn kịp thời

Nguyên nhân dẫn đến viêm lợi
Nguyên nhân gây viêm lợi thường xuyên nhất là do vi khuẩn tồn tại trên các mảng bám cao răng gây nên.
Mảng bám là một mảng mỏng khi khuẩn. Nó liên tục hình thành trên bề mặt răng của bạn.
Khi các mảng bám không được làm sạch, vi khuẩn tấn công đến tận chân răng và sản sinh tại đó các enzyme có khả năng phá hủy sự liên kết của các biểu mô, khiến cho sự liên kết giữa răng và lợi lỏng lẻo hơn.
Nếu không được kiểm soát, viêm lợi có thể khiến nướu tách ra khỏi răng. Nó có thể gây ra:
- Chấn thương mô mềm và xương nâng đỡ răng
- Răng trở nên lung lay và không ổn định
- Mất răng nếu nhiễm trùng nặng
Ngoài nguyên nhân chủ yếu do vi khuẩn tại các mảng bám, viêm lợi còn có thể do một số nguyên nhân khác như:
- Do thay đổi nội tiết tố ở phụ nữ mang thai hay trong thời kỳ mãn kinh
- Thiếu hụt vitamin C nghiêm trọng
- Giảm miễn hệ miễn dịch do một số bệnh như đái tháo đường, ung thư….
- Thuốc lá, rượu và chế độ dinh dưỡng mất cân bằng
- Do tác dụng phụ của một số thuốc như thuốc chống trầm cảm, thuốc kháng histamin,….
Không tìm thấy câu hỏi bạn quan tâm....
ĐẶT CÂU HỎI CHO CHÚNG TÔI
Viêm lợi và cách chữa trị hiệu quả nhất
Để điều trị viêm lợi, bạn phải thực hiện vệ sinh răng miệng thật tốt.
Ngoài ra, hãy bỏ thói quen hút thuốc và kiểm soát bệnh tiểu đường nếu bạn đang sống chung với tình trạng này.
- Vệ sinh tăng miệng thường xuyên: Áp dụng các biện pháp làm sạch khác như súc miệng nước muối…Song song với biện pháp y tế, bạn cần giữ vệ sinh răng miệng đúng cách để có thể kiểm soát và phòng ngừa bệnh viêm lợi tái phát.
- Lấy cao răng giúp loại bỏ cao tăng từ trên và dưới đường viền nướu, làm sạch vị khuẩn mảng bám giúp nướu bị tổn thương nhanh phục hồi và ôm sát chân răng
- Kết hợp sử dụng thuốc kháng sinh hỗ trợ chống viêm và giảm các triệu chứng đau răng, sưng tấy. Tùy theo từng trường hợp, thuốc được kê có thể bao gồm kháng sinh dạng bôi, thuốc chấm tê giảm đau, nước súc miệng chứa hoạt chất kháng khuẩn, thuốc giảm đau…
Nếu chăm sóc và điều trị đúng cách, viêm lợi có thể giảm nhanh chỉ sau một vài tuần. Ngược lại, nếu chủ quan có thể khiến bệnh tiến triển nặng dẫn đến viêm nha chu và hàng loạt những biến chứng khác.
Vì vậy, việc lựa chọn nha khoa uy tín đóng vai trò rất quan trọng để đảm bảo quá trình điều trị đạt hiệu quả cao và an toàn. Tại các nha khoa hiện đại, bác sĩ sẽ sử dụng công nghệ số hỗ trợ như máy chụp phim 3D để đánh giá chính xác mức độ viêm, thiết bị siêu âm để làm sạch sâu túi lợi nhẹ nhàng, hạn chế đau nhức.

Nhờ đó, tình trạng viêm sẽ được kiểm soát triệt để, giúp lợi phục hồi khỏe mạnh và ngăn ngừa tái phát.
Ngăn ngừa bệnh viên lợi
Phòng bệnh hơn chữa bệnh. Hãy tạo cho mình những thói quen tốt để phòng ngừa bệnh viêm lợi như:
- Thăm khám nha sĩ định kỳ 6 tháng/lần và lấy cao răng. Khám sức khỏe răng miệng định kỳ giúp bạn phát hiện sớm các triệu chứng và điều trị kịp thời
- Đánh răng đúng cách 2 lần mỗi ngày với kem đánh răng có chứa Flour. Đánh răng giúp làm sạch thức ăn và ngăn ngừa việc hình thành các mảng bám xung quanh chân răng. Ngoài ra, bạn có thể kết hợp sử dụng nước súc miệng và chỉ nha khoa để thêm hiệu quả làm sạch.
- Chế độ ăn uống cần bằng cũng rất quan trọng để duy trì sức khỏe răng miệng. Hạn chế sử dụng các loại đồ uống và thực phẩm chứa nhiều cồn, đường, axit và tinh bột. Dưới tác động của enzim trong nước bọt, các thành phần này dễ tích tụ và tạo thành các mảng bám ở mặt răng, kẽ răng….
Kết luận
Đừng chủ quan với viêm lợi — điều trị sớm, đúng nơi sẽ giúp bạn giữ vững sức khỏe răng miệng lâu dài
Hy vọng qua bài viết này, bạn có thể hiểu hơn về căn bệnh viêm lợi và có cách chữa trị hiệu quả.
Nếu bạn còn thắc mắc gì, hãy liên hệ với chúng tôi để được tư vấn MIỄN PHÍ!!
