Sâu răng là bệnh lý phổ biến mà hầu hết ai cũng từng gặp phải ít nhất một lần trong đời. Tuy nhiên, không phải trường hợp sâu răng nào cũng cần nhổ bỏ. Việc giữ lại răng thật luôn là ưu tiên hàng đầu trong nha khoa. Vậy răng sâu khi nào phải nhổ và khi nào có thể bảo tồn? Bài viết dưới đây sẽ giúp bạn hiểu rõ từng mức độ sâu răng và hướng xử lý phù hợp.
MỤC LỤC
1. Các mức độ sâu răng
Để xác định răng sâu khi nào phải nhổ, trước tiên cần hiểu rõ các giai đoạn tiến triển của sâu răng.

1.1. Sâu men răng
Đây là giai đoạn sớm nhất, khi vi khuẩn bắt đầu phá hủy lớp men răng bên ngoài. Dấu hiệu thường là các đốm trắng hoặc nâu nhẹ trên bề mặt răng.

- Triệu chứng: Gần như không đau.
- Điều trị: Có thể tái khoáng hoặc trám răng đơn giản.
- Chưa cần nhổ.
1.2. Sâu ngà răng
Khi sâu răng tiến vào lớp ngà, răng bắt đầu trở nên nhạy cảm hơn với đồ ăn nóng, lạnh hoặc ngọt.

- Triệu chứng: Ê buốt nhẹ, có thể thấy lỗ sâu.
- Điều trị: Trám răng hoặc phục hình.
- Chưa cần nhổ.
1.3. Sâu vào tủy
Đây là giai đoạn nghiêm trọng hơn khi vi khuẩn xâm nhập vào buồng tủy.

- Triệu chứng: Đau nhức dữ dội, đặc biệt về đêm hoặc ăn đồ nóng lạnh, chua ngọt.
- Điều trị: Điều trị tủy và bọc răng sứ.
- Vẫn có thể giữ răng nếu điều trị kịp thời.
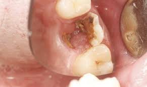
1.4. Răng sâu vỡ lớn, chỉ còn chân răng
Ở giai đoạn nặng nhất, răng bị phá hủy gần như toàn bộ thân răng, chỉ còn lại chân răng.

- Triệu chứng: Đau, nhiễm trùng, ăn nhai khó khăn.
- Thường phải nhổ nếu không thể phục hồi.
Đây chính là trường hợp răng hàm bị sâu chỉ còn chân răng mà nhiều người gặp phải do chủ quan không điều trị sớm.
Xem them: Chữa Tủy Xong Vẫn Đau: Nguyên Nhân Và Cách Xử Lý Hiệu Quả
2. Sâu răng khi nào cần nhổ?
Không phải cứ sâu răng là phải nhổ. Tuy nhiên, bác sĩ sẽ chỉ định nhổ răng trong các trường hợp sau:
2.1. Răng bị phá hủy quá nặng
Khi thân răng bị vỡ lớn, không còn đủ cấu trúc để phục hình bằng trám hoặc bọc sứ, việc nhổ răng là cần thiết.
2.2. Răng sâu gây nhiễm trùng lan rộng
Nếu răng sâu gây viêm nhiễm lan xuống xương hàm hoặc tạo ổ áp xe, việc giữ lại răng có thể gây nguy hiểm cho sức khỏe.
2.3. Răng không thể điều trị tủy
Trong một số trường hợp, hệ thống ống tủy quá phức tạp hoặc bị tổn thương nghiêm trọng, điều trị tủy không còn hiệu quả.
2.4. Răng lung lay do viêm nha chu
Khi răng bị tiêu xương nâng đỡ và lung lay nhiều, nhổ răng là giải pháp để tránh ảnh hưởng đến các răng xung quanh.
2.5. Răng gây ảnh hưởng đến răng kế cận
Răng sâu có thể là nguồn lây nhiễm, làm ảnh hưởng đến các răng bên cạnh nếu không được xử lý kịp thời.
YÊU CẦU GỌI LẠI
3. Tác hại của việc không nhổ răng sâu
Nhiều người cố gắng giữ răng dù đã hư hỏng nặng, tuy nhiên tác hại của việc không nhổ răng sâu có thể nghiêm trọng hơn bạn nghĩ:
- Gây nhiễm trùng lan rộng sang xương hàm và các vùng lân cận.
- Làm hỏng các răng bên cạnh.
- Gây đau nhức kéo dài, răng sâu lồi thịt, ảnh hưởng đến ăn uống và sinh hoạt.
- Tăng nguy cơ tiêu xương hàm.
- Ảnh hưởng đến sức khỏe toàn thân nếu vi khuẩn lan vào máu.
Vì vậy, việc nhổ răng đúng thời điểm là cần thiết để bảo vệ sức khỏe lâu dài.
4. Nhổ răng sâu có đau không?
Một trong những lo lắng lớn nhất của bệnh nhân là nhổ răng sâu có đau không. Trên thực tế:
- Trong quá trình nhổ răng, bác sĩ sẽ gây tê nên bạn không cảm thấy đau.
- Sau khi hết thuốc tê, có thể có cảm giác ê nhẹ, nhưng có thể kiểm soát bằng thuốc giảm đau.
- Với công nghệ hiện đại như máy Piezotome, quá trình nhổ răng diễn ra nhẹ nhàng, ít sang chấn và hồi phục nhanh hơn.

5. Chi phí điều trị răng sâu theo mức độ
Chi phí điều trị răng sâu phụ thuộc vào mức độ tổn thương và phương pháp điều trị.
5.1. Giai đoạn nhẹ
- Trám răng: 160.000 – 520.000 VNĐ
5.2. Sâu vào tủy
- Điều trị tủy: 650.000 – 1.300.000 VNĐ
- Bọc răng sứ: 1.000.000 – 12.000.000 VNĐ
5.3. Nhổ răng sâu
- Nhổ răng sâu bao nhiêu tiền: Khoảng 120.000 – 350.000 VNĐ/1 răng tùy vị trí và độ khó.
Sau khi nhổ răng, bác sĩ thường khuyến nghị phục hình bằng Implant hoặc cầu răng sứ để đảm bảo chức năng ăn nhai.
Xem thêm: Mất răng hàm có gây hóp má không?
6. Lưu ý khi nhổ răng sâu
Để đảm bảo an toàn và hồi phục nhanh, người bệnh cần lưu ý:
6.1. Không tự ý nhổ răng tại nhà
Nhiều người tìm kiếm “cách nhổ răng sâu chỉ còn chân răng tại nhà”, tuy nhiên đây là việc rất nguy hiểm. Việc tự nhổ răng có thể gây:
- Chảy máu không kiểm soát.
- Nhiễm trùng nặng.
- Gãy chân răng, khó xử lý về sau.
6.2. Tuân thủ hướng dẫn sau nhổ
- Cắn gạc đúng thời gian.
- Không súc miệng mạnh trong 24 giờ đầu.
- Tránh ăn đồ cứng, nóng.
- Uống thuốc theo chỉ định.
6.3. Lựa chọn nha khoa uy tín
Nhổ răng cần được thực hiện bởi bác sĩ có chuyên môn, với trang thiết bị hiện đại để đảm bảo an toàn và giảm đau tối đa.


