Trong lĩnh vực nha khoa nói chung và trồng răng Implant nói riêng, chụp phim CT Conebeam không chỉ giúp bác sĩ đánh giá chi tiết tình trạng xương hàm mà còn là nền tảng để lập kế hoạch điều trị an toàn, chính xác và cá nhân hóa cho từng bệnh nhân.
Vậy chụp phim CT Conebeam là gì, vì sao lại đóng vai trò quan trọng như vậy? Cô Chú/Anh Chị hãy cùng tìm hiểu qua bài viết dưới đây.
MỤC LỤC
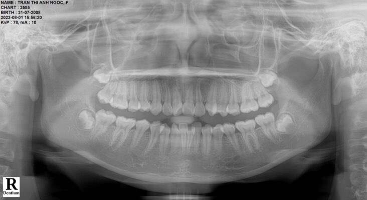
Chụp phim CT Conebeam là gì?
Nếu như trước đây, việc chẩn đoán xương hàm chủ yếu dựa trên phim X-quang 2 chiều (2D) khiến bác sĩ khó quan sát chính xác toàn bộ cấu trúc bên trong miệng, thì ngày nay, công nghệ CT Conebeam 3D đã trở thành một cuộc cách mạng trong nha khoa với chẩn đoán hình ảnh 3 chiều (3D) hiện đại.


Khi thực hiện chụp phim CT Conebeam 3D, đầu máy sẽ xoay 360 độ quanh vùng hàm mặt trong vài giây để thu thập dữ liệu.
Hệ thống cảm biến đặc biệt sẽ ghi lại hàng trăm lớp cắt siêu mỏng của vùng cần khảo sát.

ĐĂNG KÝ TƯ VẤN
Đặt lịch tư vấn với Chuyên gia hơn 14 năm kinh nghiệm trồng răng Implant
Chỉ với một lần chụp duy nhất, bác sĩ có thể quan sát hàng triệu góc nhìn – từ trên xuống, từ dưới lên, mặt bên, mặt nghiêng…


Những dữ liệu này sau đó được xử lý bằng phần mềm chuyên dụng để tái dựng thành mô hình 3D sắc nét, phản ánh chính xác cấu trúc xương hàm, răng, chân răng, dây thần kinh và xoang hàm của người bệnh.
Từ đó dễ dàng phát hiện các vấn đề tiềm ẩn như tiêu xương, viêm quanh chân răng cũ, khoảng cách đến dây thần kinh, độ sâu xoang hàm… giúp quá trình lập kế hoạch điều trị trở nên chính xác và cá nhân hóa cho từng khách hàng.


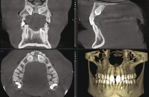
Vai trò của phim CT Conebeam trong trồng răng Implant
Phim chụp CT Conebeam là bước đầu tiên và quan trọng bậc nhất trong quy trình trồng răng Implant.

Dựa vào hình ảnh thu được, bác sĩ có thể:
- Đánh giá chính xác thể tích – mật độ xương hàm tại vị trí cần cấy Implant.
- Phát hiện các yếu tố nguy cơ như dây thần kinh, xoang hàm, viêm quanh răng cũ…
- Xác định bệnh nhân có cần ghép xương/nâng xoang hay không.
- Làm cơ sở để lập phác đồ điều trị bằng phần mềm CAD/CAM và sản xuất máng định vị HiSafe.
- Tăng tỷ lệ thành công và rút ngắn thời gian điều trị.

Hãy cùng nghe phân tích lâm sàng từ phim chụp CT Conebeam trường hợp mất gần hết răng và phương pháp điều trị phù hợp từ bác sĩ Trần Mạnh Toản – BS Phục hình Tiểu phẫu tại Nha khoa Vân Anh:
Xem thêm: Bảng giá trồng răng implant mới nhất Nha khoa Vân Anh tại ĐÂY
Chụp phim CT Conebeam có đau không? Có an toàn không?
Câu trả lời là: hoàn toàn không đau và rất an toàn.
Máy chụp CT Conebeam sử dụng tia X liều thấp và thời gian quét cực ngắn – chỉ khoảng 5 đến 10 giây – nên không gây bất kỳ cảm giác khó chịu nào trong quá trình thực hiện.
Người chụp chỉ cần đứng yên trong tư thế thoải mái, máy sẽ tự động xoay quanh vùng đầu để ghi lại toàn bộ dữ liệu.
Không có tác động xâm lấn, không có sự can thiệp nào vào mô mềm, nên chụp CT Conebeam hoàn toàn không gây đau – kể cả với người lần đầu đến nha khoa.

So với các loại phim X-quang truyền thống, máy CT Conebeam hiện đại hơn rất nhiều về cả độ chính xác và độ an toàn.
Nhờ cơ chế chụp nhanh, tia X không lưu lại trong cơ thể, không gây tồn dư bức xạ – đảm bảo an toàn cho cả khách hàng lớn tuổi, người đang điều trị bệnh lý nền hoặc có nhu cầu theo dõi nhiều lần trong quá trình điều trị răng miệng.

Tại Nha khoa Vân Anh, hệ thống máy CT Conebeam 3D luôn được kiểm định nghiêm ngặt, sử dụng trong môi trường vô trùng, có đội ngũ bác sĩ và kỹ thuật viên hướng dẫn tận tình – đảm bảo quy trình chụp nhanh chóng, an toàn, và mang lại hình ảnh chính xác nhất để bác sĩ đưa ra kế hoạch điều trị phù hợp.
Hàng nghìn khách hàng lựa chọn Nha khoa Vân Anh
Nha khoa Vân Anh tự hào là đơn vị tiên phong ứng dụng công nghệ trồng răng implant kỹ thuật số như: máy chụp phim CT Conebeam, máng định vị phẫu thuật HiSafe, máy quét dấu răng Scan 5D, công nghệ CAD/CAM thiết kế răng sứ.
Với đội ngũ hơn 14 năm kinh nghiệm và trang thiết bị hiện đại, Nha khoa Vân Anh cam kết mang đến dịch vụ trồng răng Implant an toàn, chính xác, nhanh chóng.




Xem thêm: Hình ảnh khách hàng trồng răng tại Nha khoa Vân Anh
Chi phí chụp phim CT Conebeam tại Nha khoa Vân Anh
Chụp phim CT Conebeam không đơn thuần là một công nghệ – mà là nền tảng không thể thiếu cho một kế hoạch trồng răng Implant thành công.
Với độ chính xác cao, hình ảnh sắc nét và quy trình chụp nhẹ nhàng, đây chính là bước đầu tiên để đảm bảo sự an toàn, hiệu quả và yên tâm tuyệt đối cho khách hàng.

Nếu Cô Chú/Anh Chị đang có nhu cầu trồng răng Implant, hãy đến Nha khoa Vân Anh để được thăm khám và chụp phim CT Conebeam MIỄN PHÍ với trang thiết bị hiện đại nhất.
Hiện chúng tôi đang miễn toàn bộ chi phí thăm khám tổng quát, chụp phim CT Conebeam 3D cũng như tư vấn điều trị từ bác sĩ chuyên môn.
Đây là chương trình hỗ trợ đặc biệt dành cho tất cả khách hàng, giúp Cô Chú/Anh Chị có thể yên tâm đến kiểm tra mà không phải lo nghĩ về tài chính.
Xem thêm: Bảng giá trồng răng Implant ở Hà Nội của 5 nha khoa uy tín
Để lại thông tin ở dưới đây để nhận ưu đãi kiểm tra xương hàm – tư vấn hoàn toàn miễn phí cùng bác sĩ chuyên gia tại Nha khoa Vân Anh.


