Cắn ngược hay răng móm là tình trạng răng hàm dưới phủ ra phía ngoài răng hàm trên. Móm có 2 loại do răng và do xương, mỗi loại có cách điều trị khác nhau. Móm không chỉ ảnh hưởng đến thẩm mỹ của khuôn mặt còn gây ra các tình trạng bệnh lý khác.
Cắn ngược gây ra những nguy hiểm gì?
– Răng móm gây ảnh hưởng đến thẩm mỹ khuôn mặt, khiến khuôn mặt bị dài ra trông già hơn tuổi,mất đi vẻ cân xứng hài hoà của khuôn mặt, khi nhìn nghiêng hàm trên kém phát triển hơn hàm dưới mặt gãy, càm bị chìa ra, tương quan giữa mũi và cằm sai rõ rệt.
– Sai lệch khớp cắn ảnh hưởng đến chức năng ăn nhai, khi bị món khả năng cắn xé thức ăn sẽ khó khăn do tương quan hai hàm bị sai, lâu dần có thể gây ra một số bệnh về đường tiêu hoá.
– Phát âm không chuẩn: do tương quan hai hàm không đúng, khó khăn trong việc phát âm, ngọng.
– Ảnh hưởng đến khớp thái dương hàm: nếu tình trạng cắn ngược không được điều trị, lâu dần gây ra các bệnh về khớp thái dương hàm rất nguy hiểm.
– Vệ sinh răng miệng khó khăn, gây tích tụ mảng bám cao răng,hôi miệng ảnh hưởng đến sức khoẻ răng miệng: sâu răng, viêm lợi, túi nha chu.
Điều trị cắn ngược như thế nào?
Cách điều trị móm phụ thuộc vào nguyên nhân do răng hay do xương.
– Nếu nguyên nhân do răng cách điều trị tốt nhất là niềng răng.
– Nếu nguyên nhân là ở xương hàm, có thể phải phẫu thuật kết hợp với niềng răng để có hiệu quả cao nhất.
Bị cắn ngược có niềng răng được không?
Câu trả lời là Có.
Tuy nhiên cần phải đánh giá tình trạng cắn ngược của bệnh nhân, niềng răng có mang lại hiệu quả tốt nhất hay không.
Niềng răng chỉ tác động lên răng làm thay đổi vị trí của răng chứ không tác động nên xương, đặc biệt là sau tuổi dậy thì vì vậy đối với trường hợp cắn ngược nặng nguyên nhân là do xương hàm thì cần phối hợp với phẫu thuật tác động đến xương.
Ở lứa tuổi trước dậy thì nếu phát hiện sớm tình trạng cắn ngược ở các bé, ta có thể sử dụng các khí cụng chỉnh nha để điều trị tác động lên xương giai đoạn sớm khôi phục lại khớp cắn bình thường và không cần phải phẫu thuật sau này.Chính vì vậy hãy cho trẻ đi khám nha sĩ ngay để phát hiện sớm những bệnh lý răng miêng đặc biệt là bệnh lý về khớp cắn để điều trị kịp thời.
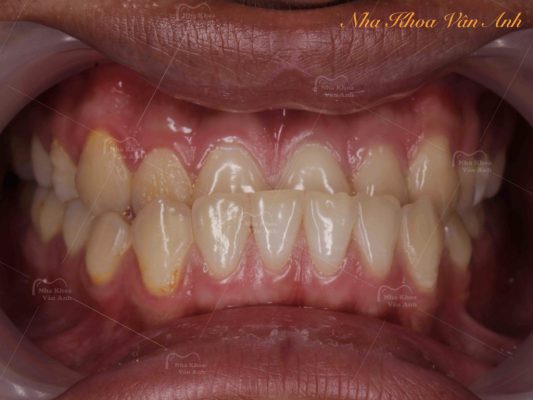
Hình ảnh khách hàng điều trị tại Nha Khoa Vân Anh.
Tại Bắc Ninh, Nha Khoa Vân Anh là một địa chỉ uy tín, đáng tin cậy để mọi người đặt niềm tin, yên tâm điều trị.
Tại sao nên điều trị khớp cắn ngược tại Nha Khoa Vân Anh?
– Đội ngũ y bác sĩ chuyên môn cao, giàu kinh nghiệm, đã điều trị thành công cho rất nhiều ca tương tự.
– Cơ sở vất chất trang thiết bị hiện đại, tiên tiến, luôn cập nhật những công nghệ mới nhất để phục vụ cho bệnh nhân.
– Có cam kết chỉnh nha bảo đảm quyền lợi cho bệnh nhân
– Chính sách trả góp lãi suất 0% và nhiều khuyến mại hấp dẫn.
Nếu bạn còn thắc mắc gì về việc khớp cắn ngược có niềng răng được hay không xin hãy gửi câu hỏi về cho Nha Khoa Vân Anh để được tư vấn một cách tốt nhất nhé!
THÔNG TIN LIÊN HỆ:
Cảm ơn các quý khách hàng đã quan tâm đến dịch vụ của Nha Khoa Vân Anh.
Hotline: 0966.645.499 – 0838.300.666
Giờ làm việc: 8:00 – 18:30 tất cả các ngày trong tuần
Fanpage:https://www.facebook.com/phongkhamnhakhoavananh
Youtube: https://www.youtube.com/channel/nhakhoavananh
Tư vấn trực tuyến, đặt lịch hẹn: m.me/nrnkva
Vui lòng liên hệ khi bạn có bất kỳ thắc mắc nào cần được giải đáp, đội ngũ chuyên gia của chúng tôi sẽ hỗ trợ bạn 24/7

