Trong bối cảnh y tế hiện đại, Nha khoa Vân Anh đã khẳng định vị thế tiên phong bằng việc ứng dụng các công nghệ số tiên tiến trong lĩnh vực niềng răng chỉnh nha, mang đến cho khách hàng những trải nghiệm chăm sóc răng miệng hoàn toàn mới.
Sứ mệnh của chúng tôi là kết hợp giữa chuyên môn cao của đội ngũ bác sĩ và những công nghệ số tiên tiến nhất, nhằm mang lại giải pháp chỉnh nha chính xác, an toàn và hiệu quả nhất cho mỗi khách hàng.
MỤC LỤC
- Công nghệ chỉnh nha kỹ thuật số là gì?
- Ứng dụng công nghệ chỉnh nha kỹ thuật số tại Nha khoa Vân Anh
- Quy trình niềng răng kỹ thuật số tại Nha khoa Vân Anh
- Nha khoa Vân Anh – Tiên phong ứng dụng công nghệ chỉnh nha kỹ thuật số
- Kết
- ĐĂNG KÝ TƯ VẤN MIỄN PHÍ
Công nghệ chỉnh nha kỹ thuật số là gì?
Niềng răng ngày nay không còn chỉ dựa vào kinh nghiệm bác sĩ mà đã được hỗ trợ mạnh mẽ bởi công nghệ kỹ thuật số.
Công nghệ niềng răng chỉnh nha kỹ thuật số là việc ứng dụng các thiết bị hiện đại như máy chụp phim, máy quét dấu răng 5D, trí tuệ nhân tạo AI và các công nghệ mô phỏng 3D giúp bác sĩ lên kế hoạch điều trị chính xác hơn, an toàn hơn và phù hợp với từng đối tượng khác nhau.

Công nghệ số mang lại bước tiến vượt bậc, khắc phục các khó khăn trong điều trị niềng răng truyền thông như:
Định hình chính xác: Các giải pháp công nghệ số giúp xác định vị trí răng, tình trạng xương hàm một cách chi tiết, từ đó xây dựng phác đồ điều trị tối ưu.
Dự báo kết quả: Công nghệ mô phỏng 3D cho phép khách hàng hình dung rõ ràng quá trình di chuyển của răng và kết quả gương mặt sau khi tháo niềng với độ chính xác 99%, tạo sự tin tưởng và an tâm trong quá trình điều trị.
Giảm thiểu rủi ro: Qua việc cá nhân hóa liệu trình dựa trên dữ liệu thực tế của mỗi khách hàng, các biến chứng không mong muốn được hạn chế tối đa, đồng thời tăng cường hiệu quả điều trị

Những công nghệ này không chỉ giúp rút ngắn thời gian niềng răng mà còn tối ưu hiệu quả, giảm đau nhức và hạn chế sai sót so với phương pháp truyền thống.
Có thể nói, khách hàng không chỉ biết trước kết quả sau niềng mà còn an tâm tuyệt đối trong suốt quá trình điều trị.
Ứng dụng công nghệ chỉnh nha kỹ thuật số tại Nha khoa Vân Anh
Nha khoa Vân Anh tự hào sở hữu hệ thống công nghệ số toàn diện, giúp quá trình chỉnh nha chính xác – nhanh chóng – an toàn:
Máy chụp X-quang, CT ConeBeam – Chuẩn đoán hình ảnh số tiên tiên
Máy chụp phim X-quang, CT ConeBeam cho hình ảnh 2D, 3D sắc nét, giúp bác sĩ đánh giá chính xác cấu trúc xương hàm và răng trước khi lên kế hoạch điều trị.
Đồng thời giúp phát hiện các vấn đề tiềm ẩn như răng mọc ngầm, lệch khớp cắn… để đưa ra phương pháp chỉnh nha phù hợp.


Tại Nha khoa Vân Anh, 100% khách hàng trước khi tư vấn niềng răng đều sẽ được:
Chụp phim CT 3D ConeBeam
Công nghệ chụp CT 3D ConeBeam là một bước đột phá trong chẩn đoán răng miệng, bác sĩ có cơ sở để:
- Quan sát, đánh giá cấu trúc răng, xương hàm một cách chi tiết và toàn diện
- Phát hiện các vấn đề ẩn sâu không thể nhìn thấy bằng mắt thường
- Giảm thiểu tối đa nguy cơ bỏ sót các vấn đề về răng miệng

Chụp phim X-quang Pano

Phim X-quang Panorama cung cấp hình ảnh toàn cảnh khoang miệng, giúp bác sĩ:
- Đánh giá tình trạng răng miệng một cách tổng quan
- Phát hiện sớm các vấn đề như: răng khôn, viêm quanh răng, u nang
- Lập kế hoạch điều trị chính xác, phù hợp với tình trạng răng miệng của mỗi bệnh nhân
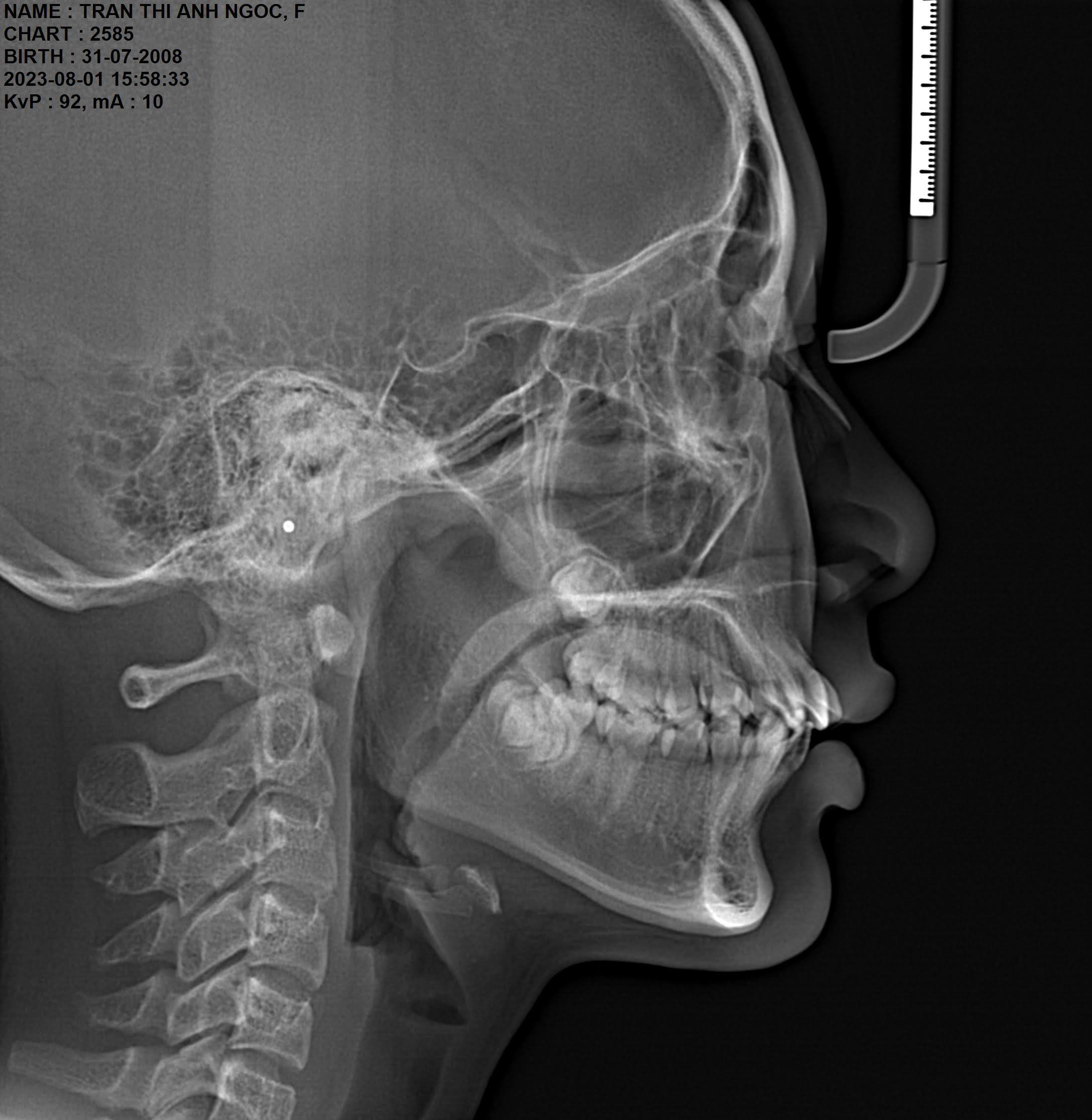
Chụp phim X-quang Cephalometric
Phim Cephalometric mang lại nhiều lợi ích giúp bác sĩ:
- Phân tích chi tiết cấu trúc xương hàm, góc nghiêng gương mặt
- Đánh giá mối tương quan giữa các răng
- Hỗ trợ tối ưu trong việc lập kế hoạch chỉnh nha

Chụp phim không làm đau, không gây khó chịu, không giữ tia bức xạ trong cơ thể sau chụp như các thiết bị chụp film truyền thống.
Xem thêm: Lưu ý khi chụp phim X-Quang trước khi niềng răng?
Trí tuệ nhân tạo dự đoán kết quả gương mặt sau niềng – Visual Face AI


Visual Face AI – công nghệ biết trước kết quả niềng răng là một bước tiến đột phá trong việc ứng dụng trí tuệ nhân tạo vào ngành chỉnh nha.
Công nghệ này hỗ trợ tái cấu trúc tầng mặt dưới, cho phép:
Tính toán sự dịch chuyển của mô mềm tương ứng với việc di chuyển của răng.
Giúp khách hàng hình dung được kết quả khuôn mặt sau khi niềng răng, từ đó đưa ra quyết định sáng suốt về liệu trình điều trị.
Nâng cao tính cá nhân hóa và chính xác trong từng trường hợp, đảm bảo sự đồng bộ giữa kết quả chỉnh nha và vẻ đẹp tự nhiên của khuôn mặt.
Tại sao công nghệ này có thể dự đoán chính xác gương mặt sau niềng? Hãy cùng nghe những chia sẻ chuyên môn từ bác sĩ Trương Thị Dịu – bác sĩ Chỉnh nha tại Nha khoa Vân Anh:
Phần mềm WebCeph lên kế hoạch điều trị cá nhân hóa

Mỗi người có một kế hoạch chỉnh nha riêng biệt!
WebCeph là công cụ phân tích số liệu tiên tiến, giúp:
Đánh giá chi tiết tình trạng răng và cấu trúc xương hàm qua các hình ảnh số hoá chất lượng cao.
Tầm soát xương hàm, đo lực kéo và xác định vị trí mắc cài, dây cung một cách chính xác.
Hạn chế tối đa các biến chứng như đau nhức, kích ứng, nhờ đó tạo ra một quy trình điều trị an toàn và hiệu quả.
Với công nghệ WebCeph, mỗi kế hoạch điều trị đều được cá nhân hóa cho khách hàng, đạt hiệu quả niềng răng tốt nhất

Công nghệ 3D Simulation – Mô phỏng quá trình răng dịch chuyển
3D Simulation là công nghệ hiện đại cho phép mô phỏng toàn bộ quá trình di chuyển của từng chiếc răng trong quá trình niềng.
Nhờ đó, đội ngũ bác sĩ có thể:
Xác định chính xác khoảng cách và hướng di chuyển cần thiết cho từng răng.
Dự đoán kết quả điều trị từ những giai đoạn đầu tiên, tạo sự tự tin cho khách hàng.
Điều chỉnh phác đồ niềng răng một cách linh hoạt, phù hợp với từng đặc điểm riêng biệt của hàm răng.
Việc tích hợp công nghệ Scan dấu răng 5D cùng với các công nghệ hiện đại khác như 3D Simulation, VisualFaceAi và WebCeph đã khẳng định vị thế tiên phong của Nha khoa Vân Anh trong việc ứng dụng công nghệ số vào chỉnh nha, mang lại trải nghiệm tối ưu và kết quả hoàn hảo cho khách hàng.

Máy quét dấu răng 5D – Scan không đau, không khó chịu
Nói không với lấy dấu răng bằng máng truyền thống!
Bác sĩ Nha khoa Vân Anh sẽ dùng thiết bị quét toàn bộ cung răng với hình ảnh 3D sắc nét, giúp tái tạo cấu trúc răng một cách chuẩn xác 100%.
Phương pháp này giải quyết tối ưu nhược điểm của phương pháp lấy răng bằng vật liệu silicone hay Alginate truyền thống khiến khách hàng khó chịu vì phải ngậm vật liệu trong miệng để có được dấu răng.
Công nghệ quét 5D giúp lấy dấu răng nhanh chóng, chính xác và thoải mái hơn nhiều lần so với phương pháp truyền thống.
Ngoài ra, Việc Scan dấu răng 5D nhanh chóng còn giúp:
Phát hiện sớm các bệnh lý răng miệng: Máy quét iTero 5D không chỉ hỗ trợ trong việc chỉnh nha mà còn giúp phát hiện sớm các vấn đề về răng miệng, đảm bảo sức khỏe toàn diện cho khách hàng.
Tối ưu hóa kế hoạch điều trị: Dữ liệu từ máy quét giúp bác sĩ theo dõi chính xác sự dịch chuyển của răng, từ đó điều chỉnh kế hoạch điều trị kịp thời, đảm bảo hiệu quả và rút ngắn thời gian chỉnh nha.
Quy trình niềng răng kỹ thuật số tại Nha khoa Vân Anh
Bước 1: Thăm khám & Chụp
Bác sĩ kiểm tra tổng quát, chụp phim và chụp ảnh ngoài mặt để đánh giá chính xác tình trạng răng và xương hàm, mức độ cải thiện thẩm mỹ một cách tổng quan nhất.
Trong 1 số trường hợp cần thiết, bác sĩ sẽ chỉ định chụp phim CT ConeBeam để chuẩn đoán tình trạng xương, răng theo 3 chiều không gian.
Bước 2: Quét dấu răng 5D – Không đau, không khó chịu
Thay thế phương pháp lấy dấu truyền thống bằng công nghệ scan 5D, giúp quá trình diễn ra nhẹ nhàng và chính xác hơn.
Bước 3: Lên kế hoạch chỉnh nha cá nhân hóa bằng AI
Ứng dụng phần mềm WebCeph và Visual Face AI và Simulation để thiết kế lộ trình niềng phù hợp, giúp khách hàng xem trước kết quả.
Bước 4: Thiết kế máng niềng hoặc mắc cài phù hợp
Tùy vào phương pháp niềng răng mà bác sĩ sẽ thiết kế máng niềng trong suốt hoặc mắc cài cá nhân hóa
Bước 5: Bắt đầu chỉnh nha và theo dõi định kỳ
Khách hàng sẽ đeo niềng theo hướng dẫn của bác sĩ, tái khám định kỳ để kiểm tra tiến trình dịch chuyển của răng.

Xem thêm: Tại sao niềng răng trong suốt Techlign đem lại hiệu quả tốt mà tiết kiệm chi phí nhất?
Nha khoa Vân Anh – Tiên phong ứng dụng công nghệ chỉnh nha kỹ thuật số
Tại Nha khoa Vân Anh, chúng tôi cam kết bạn sẽ nhận được:
1. Liệu trình niềng răng cá nhân hoá với bác sĩ từ Đại học Y
Trong quá trình niềng răng, mỗi bệnh nhân đều có những tình trạng và nhu cầu riêng biệt. Do đó, Nha khoa Vân Anh cung cấp giải pháp điều trị dựa trên tình trạng và nhu cầu riêng của từng bệnh nhân.
Mỗi khách hàng khi đến thăm khám và tư vấn sẽ được xây dựng kế hoạch niềng răng cá nhân hóa bởi bác sĩ từ đại học Y Hà Nội. Đây là phác đồ “duy nhất”, hoàn toàn được thiết kế chuẩn xác dành riêng cho bạn. Việc cá nhân hóa liệu trình giúp cho bệnh nhân đạt được kết quả tốt nhất trong quá trình niềng răng.

Các bác sĩ tại Nha khoa Vân Anh đều là những chuyên gia chỉnh nha hàng đầu. Trong đó, 100% đội ngũ bác sĩ tốt nghiệp Đại học Y có tiếng, tu nghiệp nhiều năm trong – ngoài nước và đã thực hiện hơn 5.000 ca chỉnh nha thành công.
2. Cam kết hiệu quả bằng văn bản – Bảo hành sau niềng răng
Tại Nha Khoa Vân Anh, chúng tôi không chỉ mang đến dịch vụ niềng răng chuyên nghiệp mà còn đảm bảo cam kết bằng văn bản về hiệu quả niềng răng cũng như chính sách bảo hành sau niềng.
Quá trình niềng sẽ được theo dõi, điều chỉnh và đánh giá định kỳ để đạt được kết quả mong muốn.
Nếu không đạt được tiêu chí niềng răng thành công theo cam kết, chúng tôi sẽ tiếp tục điều trị miễn phí cho đến khi hoàn thiện hoặc hoàn trả lại chi phí nếu vượt quá thời gian niềng như cam kết.

Bên cạnh đó, sau khi hoàn tất quá trình niềng, Nha Khoa Vân Anh còn có chính sách bảo hành, tái khám định kì giúp khách hàng yên tâm về chất lượng trong thời gian dài.
Các trường hợp tái phát đều sẽ được điều trị mà không phát sinh chi phí gì.
3. Thực hiện hơn 5.000 ca chỉnh nha thành công
Là trung tâm niềng răng uy tín hàng đầu khu vực, chúng tôi tự hào khi đem đến hàm răng đều đẹp và khỏe mạnh cho hàng nghìn khách hàng đã tin tưởng và lựa chọn chỉnh nha tại nha khoa Vân Anh.
Hơn 5.000 khách hàng đã lựa chọn Nha khoa Vân Anh và hài lòng với kết quả chỉnh nha tại đây.
Xem thêm: Hình ảnh khách hàng niềng răng tại Nha khoa Vân Anh
4. Hệ thống Nha khoa trải khắp từ Bắc Ninh, Hà Nội và Hải Dương

Nha khoa Vân Anh là hiện đang có cơ sở tại Bắc Ninh, Hà Nội và Hải Dương.
Xem chi tiết: Địa chỉ các cơ sở thuộc phòng khám Nha khoa Vân Anh
Kết
Với hệ thống nha khoa rộng khắp, khách hàng có thể dễ dàng lựa chọn địa điểm thăm khám thuận tiện mà vẫn đảm bảo chất lượng dịch vụ uy tín.

Không chỉ tiên phong trong công nghệ điều trị nha khoa, Nha khoa Vân Anh còn ứng dụng công nghệ số vào quản lý dữ liệu và thông tin khách hàng. Nhờ đó, dù bạn thăm khám tại bất kỳ cơ sở nào, quá trình điều trị vẫn được đồng bộ, giúp bác sĩ theo dõi sát sao và đảm bảo liệu trình niềng răng diễn ra chính xác, hiệu quả.
Với sự kết hợp giữa đội ngũ bác sĩ hàng đầu và trang thiết bị hiện đại, Nha khoa Vân Anh tự tin là đơn vị tiên phong ứng dụng công nghệ chỉnh nha kỹ thuật số hàng đầu khu vực, đem lại trải nghiệm hiệu quả nhất, an toàn nhất cho khách hàng.
Nếu bạn vẫn còn thắc mắc về vấn đề liên quan tới niềng răng và tình trạng răng của mình, hãy liên hệ với Nha khoa Vân Anh để nhận được tư vấn miễn phí.















