Sau một thời gian sử dụng, nhiều người bọc răng sứ gặp phải tình trạng cầu răng sứ bị hở, gây ra các vấn đề như ê buốt, hôi miệng, viêm lợi hoặc thức ăn thường xuyên mắc kẹt ở cổ răng.
Vậy nguyên nhân do đâu, dấu hiệu nào cho thấy cầu răng sứ đang bị hở và làm sao để khắc phục? Hãy cùng bác sĩ Nha khoa Vân Anh phân tích chi tiết trong bài viết dưới đây.
MỤC LỤC
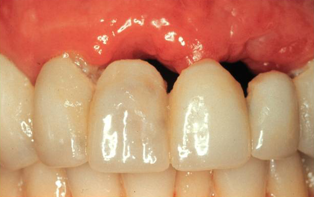
Dấu hiệu cầu răng sứ bị hở
Tình trạng cầu răng sứ bị hở có thể bắt nguồn từ nhiều yếu tố khác nhau — bao gồm kỹ thuật thực hiện, chất lượng vật liệu, và cách chăm sóc răng miệng sau khi phục hình.
Dù chỉ là một khe hở rất nhỏ, nhưng nếu không được xử lý sớm, nó có thể trở thành “ổ chứa vi khuẩn” gây viêm nướu, sâu răng gốc, hôi miệng, thậm chí hỏng luôn răng trụ nâng đỡ cầu sứ.

Phát hiện sớm tình trạng cầu răng bị hở giúp bạn tránh được nhiều biến chứng nguy hiểm. Hãy chú ý những dấu hiệu cảnh báo sau:
Hơi thở có mùi hôi dù đã vệ sinh răng miệng kỹ.
Thức ăn thường xuyên mắc ở cổ răng hoặc giữa các răng sứ.
Đau, ê buốt khi ăn đồ nóng – lạnh.
Lợi quanh cầu sứ sưng đỏ, dễ chảy máu khi chải răng.
Cầu sứ lung lay nhẹ, cảm giác không chắc như trước.
Khi soi gương, thấy viền đen hoặc khoảng hở nhỏ giữa cầu sứ và nướu.
Nếu gặp các dấu hiệu trên, bạn không nên cố tự làm sạch hoặc tiếp tục sử dụng, vì có thể làm viêm nặng hơn, ảnh hưởng đến răng trụ bên dưới.
YÊU CẦU GỌI LẠI
Nguyên nhân cầu răng sứ bị hở
Dưới đây là những nguyên nhân phổ biến nhất mà bác sĩ thường gặp trong thực tế lâm sàng:
1. Sai kỹ thuật khi mài cùi răng và lấy dấu răng
Đây là nguyên nhân hàng đầu khiến cầu răng sứ bị hở, và thường xảy ra khi quá trình mài cùi hoặc lấy dấu không đạt độ chính xác tuyệt đối.

Trước khi làm cầu răng sứ, bác sĩ cần mài nhỏ hai răng thật ở hai bên khoảng trống để làm trụ đỡ cho cầu. Việc mài này đòi hỏi độ chính xác đến từng phần nhỏ của milimet.
Nếu:
Bác sĩ mài quá sâu, phần cùi răng bị xâm lấn đến tủy → răng trụ yếu, dễ ê buốt, khó bám chắc răng sứ.
Bác sĩ mài sai hướng hoặc tạo góc không chuẩn → răng sứ không ôm sát hoàn toàn vào cổ răng, tạo khe hở nhỏ ở viền lợi.
Một nguyên nhân tương tự là khi lấy dấu răng bằng vật liệu thông thường không đủ chính xác, có thể xuất hiện bọt khí, sai lệch viền lợi, rách dấu hoặc biến dạng khi tháo khuôn.
Điều này khiến chế tác cầu sứ sai lệch kích thước — dù rất nhỏ cũng đủ để gây hở viền, tạo khoảng trống cho vi khuẩn xâm nhập.

Khi cầu răng sứ không khít hoàn toàn, thức ăn, vi khuẩn và mảng bám sẽ tích tụ quanh cổ răng.
Lâu dần, răng trụ sẽ bị sâu ngầm dưới mão sứ, gây viêm tủy, hôi miệng kéo dài, và làm giảm tuổi thọ phục hình.
2. Keo dán sứ bị bong hoặc lão hóa sau thời gian dài sử dụng
Sau nhiều năm, lớp cement nha khoa (keo gắn) giữa răng sứ và răng thật có thể bị mòn, bong hoặc rửa trôi bởi tác động của nước bọt, lực nhai và môi trường axit trong khoang miệng.
Một khi lớp cement này bị suy yếu, độ bám dính giảm đi đáng kể, tạo ra khe hở nhỏ giữa cầu sứ và răng trụ bên dưới.
Hậu quả là:
Cầu răng bắt đầu lung lay nhẹ, nhất là khi nhai đồ cứng.
Thức ăn dễ kẹt lại ở cổ răng, gây hôi miệng dai dẳng.
Nếu để lâu, vi khuẩn sẽ xâm nhập vào cùi răng, gây sâu răng gốc hoặc viêm tủy kín dưới răng sứ.
Đây là quá trình lão hóa tự nhiên, thường xuất hiện sau 5–10 năm sử dụng cầu sứ.
Tuy nhiên, nếu được kiểm tra định kỳ 6 tháng/lần, bác sĩ có thể phát hiện sớm và tái gắn hoặc thay mới keo cố định trước khi có biến chứng.
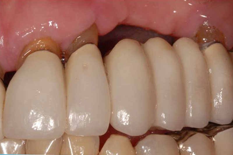
3. Nướu co rút hoặc tiêu xương ổ răng theo thời gian
Khi một hoặc nhiều răng bị mất, vùng xương ổ răng không còn chịu lực nhai nên sẽ tự nhiên tiêu dần theo thời gian, tùy vào tình trạng xương hàm và chế độ chăm sóc của từng người.
Cùng lúc, mô nướu phía trên co rút xuống dưới, làm lộ khoảng trống giữa viền răng sứ và lợi — nhìn bề ngoài giống như cầu răng “bị hở cổ”.

Hiện tượng này là quá trình sinh lý bình thường, đặc biệt xảy ra ở người:
Đã mất răng nhiều năm,
Không được cấy Implant bảo tồn xương,
Hoặc có thói quen nghiến răng, vệ sinh mạnh tay.
Khi lợi co rút, phần cổ răng thật bên dưới răng sứ lộ ra, dễ bị mòn, ê buốt, tích tụ mảng bám và gây hôi miệng.
Nếu để kéo dài, nướu có thể viêm mạn tính, ảnh hưởng đến cả hai răng trụ đỡ của cầu, khiến cầu bị lỏng hoặc sập sứ.
ĐẶT LỊCH TƯ VẤN
4. Chăm sóc răng miệng chưa đúng cách sau khi phục hình
Cầu răng sứ, dù bền và cứng, vẫn cần được chăm sóc kỹ lưỡng như răng thật.
Tuy nhiên, nhiều người sau khi bọc sứ lại đánh răng quá mạnh, dùng bàn chải lông cứng hoặc không làm sạch kẽ răng bằng chỉ nha khoa.
Kết quả là:
Mảng bám, thức ăn và vi khuẩn tích tụ quanh viền sứ.
Viêm nướu xuất hiện, khiến mô lợi sưng đỏ, co rút, tạo khe hở ngày càng lớn.
Nếu không điều trị, viêm lợi sẽ chuyển thành viêm nha chu, làm lỏng cầu răng và ảnh hưởng đến xương ổ bên dưới.
Cầu sứ có cấu trúc liền nhau nên bàn chải thông thường không thể làm sạch phần gầm cầu.
Do đó, bác sĩ luôn khuyến nghị bệnh nhân sử dụng chỉ nha khoa chuyên dụng hoặc máy tăm nước để làm sạch khu vực này mỗi ngày.
5. Cầu răng sứ xuống cấp hoặc nứt vỡ sau nhiều năm sử dụng
Tuổi thọ trung bình của một cầu răng sứ dao động từ 7 đến 15 năm, tùy theo chất liệu sứ, kỹ thuật chế tác và thói quen ăn nhai của người dùng.

Sau thời gian dài chịu lực, cầu sứ có thể:
Nứt, sứt mẻ, đặc biệt ở vùng nhịp cầu giữa,
Mòn khớp cắn, khiến lực nhai không đều,
Giảm độ khít, dẫn đến hở cổ răng hoặc khoảng trống giữa các thân sứ.
Người dùng thường cảm thấy vướng, cộm hoặc đau nhẹ khi nhai, đôi khi còn nghe tiếng “kêu” lạ do phần sứ bị bong keo hoặc chạm sai khớp.
Nếu tiếp tục sử dụng, khe hở sẽ ngày càng rộng, dẫn đến sâu răng trụ, viêm nướu và mất thẩm mỹ.
Cách khắc phục cầu răng sứ bị hở
Tùy theo nguyên nhân, bác sĩ sẽ đưa ra phương án xử lý phù hợp sau khi kiểm tra bằng phim chụp X-quang hoặc CT Conebeam.

Các hướng xử lý phổ biến gồm:
1. Làm sạch và gắn lại cầu răng sứ (nếu còn sử dụng được)
Trường hợp cầu sứ bị bong nhẹ hoặc hở do keo dán, bác sĩ có thể vệ sinh lại phần cùi răng, khử khuẩn và gắn lại bằng cement chuyên dụng.
Cách này giúp tiết kiệm chi phí, thời gian và vẫn đảm bảo tính thẩm mỹ.
2. Thay mới cầu răng sứ
Nếu cầu sứ bị hở do sai kỹ thuật hoặc xuống cấp, phương án tối ưu là tháo bỏ và làm lại cầu sứ mới.
Khi đó, bác sĩ sẽ đánh giá lại tình trạng răng trụ, mài chỉnh khớp cắn, lấy dấu bằng máy quét Scan 5D để chế tác cầu mới chuẩn khít tuyệt đối với viền lợi.
Tại Nha khoa Vân Anh, các răng sứ được thiết kế bằng công nghệ CAD/CAM 3D, đảm bảo độ chính xác cao và thẩm mỹ tự nhiên.
ĐĂNG KÝ TƯ VẤN MIỄN PHÍ
3. Chuyển hướng sang trồng răng Implant
Trong các trường hợp răng trụ yếu, bị viêm tủy, hoặc tiêu xương nặng, bác sĩ có thể khuyến nghị chuyển sang trồng răng Implant thay vì tiếp tục làm cầu sứ.
Implant giúp bảo tồn xương, không mài răng thật, tuổi thọ cao gấp nhiều lần so với cầu sứ thông thường.
Nhờ đó, khách hàng có thể yên tâm phục hình an toàn, không đau – không biến chứng – ăn nhai như răng thật.
Lời khuyên của bác sĩ
Bác sĩ Trần Mạnh Toản, chuyên gia phục hình tại Nha khoa Vân Anh chia sẻ:
“Cầu răng sứ có tuổi thọ trung bình 7–15 năm, nhưng nếu được thực hiện đúng kỹ thuật, vật liệu tốt và chăm sóc chuẩn, tuổi thọ có thể kéo dài hơn rất nhiều. Ngược lại, nếu cầu bị hở, bạn cần đến nha khoa sớm để kiểm tra, vì chỉ một khe hở nhỏ cũng đủ khiến sâu răng, viêm lợi hoặc hôi miệng kéo dài.”
Để phòng tránh cầu sứ bị hở, bạn nên:
Vệ sinh răng miệng kỹ bằng chỉ nha khoa và máy tăm nước.
Tránh ăn đồ quá cứng, dẻo hoặc dai.
Khám định kỳ 6 tháng/lần để bác sĩ kiểm tra độ khít cầu sứ.
Xem thêm: Bảng Giá Răng Sứ Mới Nhất 2025 – Cập Nhật Tại Nha Khoa Vân Anh
Tổng kết
Như vậy, cầu răng sứ bị hở không chỉ do yếu tố kỹ thuật ban đầu, mà còn liên quan đến sự thay đổi sinh lý của xương – lợi và thói quen chăm sóc hàng ngày.
Để tránh tình trạng này, người dùng cần lựa chọn nha khoa uy tín, bác sĩ nhiều kinh nghiệm, vật liệu chính hãng, và duy trì thói quen khám răng định kỳ 6 tháng/lần để phát hiện sớm bất thường.






