Vì sao bọc răng sứ bị viêm lợi, khi nào cần tháo răng sứ để làm lại, và làm thế nào để đảm bảo quá trình bọc sứ an toàn – không biến chứng?
Bài viết dưới đây, bác sĩ Nguyễn Đình Giang – chuyên khoa phục hình của Nha khoa Vân Anh sẽ phân tích chi tiết những nguyên nhân thường gặp và giải pháp khắc phục hiệu quả, giúp bạn yên tâm hơn trước khi quyết định.
MỤC LỤC
Dấu Hiệu Cảnh Báo Bọc Răng Sứ Bị Viêm Lợi
Bọc răng sứ là phương pháp phục hình thẩm mỹ phổ biến giúp cải thiện nụ cười nhanh chóng, đều, sáng và tự nhiên hơn.
Tuy nhiên, không ít trường hợp sau khi bọc răng sứ lại gặp phải tình trạng viêm lợi, sưng đỏ, hôi miệng hoặc chảy máu chân răng, gây khó chịu trong sinh hoạt hằng ngày.
Dưới đây là những dấu hiệu cảnh báo phổ biến nhất mà bạn nên chú ý:
1. Lợi sưng đỏ, đau rát quanh cổ răng sứ
Dấu hiệu đầu tiên và rõ ràng nhất là lợi quanh răng sứ bị sưng nhẹ, đỏ hoặc có cảm giác căng tức khi chạm vào.
Khi viêm tiến triển, vùng lợi quanh chân răng sứ có thể đau rát khi ăn uống, nhất là đồ nóng hoặc cay, thậm chí đau âm ỉ về đêm.

2. Dễ chảy máu khi chải răng hoặc dùng chỉ nha khoa
Nếu bạn thấy lợi chảy máu thường xuyên khi đánh răng, đặc biệt quanh vùng răng sứ, đó là dấu hiệu cho thấy mô nướu đang bị viêm hoặc kích ứng.
Tình trạng này xảy ra khi mảng bám, vi khuẩn và cặn thức ăn tích tụ lâu ngày ở viền cổ răng – nơi bàn chải thường khó làm sạch.

3. Có mùi hôi miệng kéo dài dù đã vệ sinh kỹ
Hơi thở có mùi khó chịu là biểu hiện điển hình khi vi khuẩn phát triển mạnh quanh răng sứ bị hở hoặc viêm nướu.
Ngay cả khi bạn vệ sinh sạch, dùng nước súc miệng hay xịt thơm miệng, mùi vẫn quay lại chỉ sau vài giờ.

YÊU CẦU GỌI LẠI
Nguyên Nhân Bọc Răng Sứ Bị Viêm Lợi
Có 1 sự thật là rất nhiều người lầm tưởng bọc răng sứ bị viêm lợi do bản thân vệ sinh không kỹ.
Thực tế, nguyên nhân chủ yếu của viêm lợi sau khi bọc răng sứ có thể đến từ kỹ thuật phục hình không chính xác, hoặc răng sứ – nướu – khớp cắn chưa tương thích sinh học.
Dưới đây là 3 nguyên nhân phổ biến nhất mà bác sĩ thường gặp trong thực tế lâm sàng:
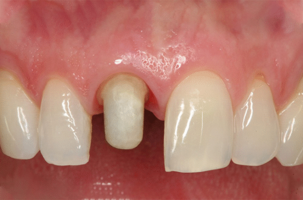
1. Răng sứ không sát khít, hở viền cổ răng
Đây là nguyên nhân hàng đầu gây viêm lợi sau khi bọc sứ.
Khi răng sứ không ôm khít hoàn toàn với cùi răng thật, sẽ xuất hiện một khe hở rất nhỏ ở cổ răng – nơi mảng bám, thức ăn và vi khuẩn dễ dàng tích tụ.
Theo thời gian, chúng tạo thành ổ viêm quanh cổ răng, khiến nướu sưng đỏ, dễ chảy máu khi chải răng, thậm chí gây mùi hôi miệng dai dẳng.

Khe hở này thường xuất phát từ:
Bác sĩ lấy dấu răng sai kỹ thuật
Vật liệu sử dụng để gắn răng sứ bị rỗng, không lấp đầy hoàn toàn vùng cổ răng.
Răng sứ chế tác bị ngắn hoặc hở viền, để lộ phần chân răng thật bên dưới.
Trong nhiều trường hợp, bệnh nhân không cảm thấy đau ngay, nhưng chỉ sau vài tuần – vùng nướu quanh răng sứ sẽ bắt đầu đỏ, sưng nhẹ, đau khi chạm, và hơi thở có mùi lạ.
Nếu không xử lý kịp thời, tình trạng này có thể tiến triển thành viêm nha chu, khiến nướu tụt, lộ cổ răng, thậm chí lung lay răng sứ.
2. Vi phạm “khoảng sinh học”
“Khoảng sinh học” là một yếu tố sinh lý cực kỳ quan trọng trong nha khoa, được hiểu là vùng mô mềm bao quanh cổ răng, có nhiệm vụ bảo vệ chân răng khỏi sự xâm nhập của vi khuẩn và duy trì sự ổn định của mô nướu.
Vùng này bao gồm biểu mô bám dính, mô liên kết và rãnh lợi, với tổng chiều cao trung bình khoảng 2–3 mm.

Khi bác sĩ mài răng quá sâu hoặc đặt viền răng sứ lấn xuống mô nướu, nghĩa là đã xâm phạm vào khoảng sinh học. Cơ thể khi đó sẽ phản ứng tự nhiên bằng cách đẩy mô nướu ra khỏi vùng viền sứ để tự bảo vệ, gây ra hiện tượng
- Viêm lợi mạn tính
- Lợi sưng đỏ, đau nhức kéo dài
- Tụt lợi dần theo thời gian, lộ cổ răng sứ và ảnh hưởng lớn đến thẩm mỹ nụ cười.
3. Thiết kế điểm tiếp xúc giữa các răng (khoảng tam giác lợi) sai kỹ thuật
Giữa hai răng tự nhiên luôn tồn tại một khoảng tam giác nhỏ được lấp đầy bởi mô nướu – gọi là “tam giác lợi”.

Khi thiết kế răng sứ, nếu bác sĩ để khoảng tam giác này quá hẹp hoặc quá rộng, gây ra nhiều biến chứng:
Nếu quá hẹp, nướu bị chèn ép, gây viêm và đau rát.
Nếu quá rộng, thức ăn sẽ dễ mắc kẹt vào khe răng, tạo điều kiện cho vi khuẩn sinh sôi – dẫn đến hôi miệng, sâu răng kẽ và viêm lợi mạn tính.
Đây là một lỗi nhỏ nhưng ảnh hưởng rất lớn đến thẩm mỹ, chức năng và sức khỏe mô nướu, đòi hỏi bác sĩ có kinh nghiệm và công nghệ mô phỏng chính xác để điều chỉnh từng chi tiết khi phục hình.
Block "29402" not found
Khi Nào Cần Tháo Răng Sứ Để Làm Lại?
Không phải mọi trường hợp viêm lợi sau khi bọc sứ đều cần tháo răng ra làm lại.
Bác sĩ sẽ đánh giá mức độ viêm, độ khít của răng sứ và phản ứng mô nướu để đưa ra hướng xử lý phù hợp.

Bạn sẽ được chỉ định tháo răng sứ trong các trường hợp nguyên nhân xuất phát từ lỗi kỹ thuật ban đầu như:
Răng sứ bị hở viền cổ răng, gây sâu răng ngầm hoặc viêm lợi tái phát nhiều lần.
Vi phạm khoảng sinh học, khiến nướu luôn sưng đỏ, không đáp ứng với điều trị.
Ngược lại, nếu viêm lợi ở mức độ nhẹ, có thể mảng bám và vệ sinh kém, bác sĩ có thể vệ sinh chuyên sâu, cạo vôi và điều chỉnh nhẹ khớp cắn, kết hợp hướng dẫn cách chăm sóc đúng để mô nướu hồi phục tự nhiên.
Xem thêm: Bảng Giá Răng Sứ Mới Nhất 2025 – Cập Nhật Tại Nha Khoa Vân Anh
Làm Thế Nào Để Bọc Răng Sứ An Toàn, Không Gây Viêm Lợi?
Để đảm bảo răng sứ bền đẹp và không viêm nướu, điều quan trọng nhất là thực hiện tại nha khoa uy tín, có công nghệ hiện đại và bác sĩ giàu kinh nghiệm.
Bởi trong kỹ thuật phục hình thẩm mỹ, sai số chỉ cần 0,1 mm cũng có thể tạo ra khe hở gây viêm lợi hoặc sai khớp cắn.
Tại Nha khoa Vân Anh, toàn bộ quy trình bọc răng sứ đều được thực hiện theo tiêu chuẩn kỹ thuật số, đảm bảo độ chính xác tuyệt đối và tương thích sinh học hoàn hảo với mô nướu:
Máy quét dấu răng Scan 5D: thu thập dữ liệu toàn bộ hàm răng và mô nướu chính xác – an toàn – thoải mái.
Phần mềm CAD/CAM: thiết kế và chế tác răng sứ chuẩn khớp cắn và khoảng sinh học trước khi chế tác, giúp bác sĩ kiểm soát toàn bộ cấu trúc phục hình.
Công nghệ thiết kế nụ cười kỹ thuật số (Smile Design): đảm bảo răng sứ hài hòa với nướu, môi và khuôn mặt, mang lại nụ cười tự nhiên nhất.
Vật liệu toàn sứ cao cấp nhập khẩu chính hãng (Zirconia, Ceramill, Nacera, Orodent…): không oxy hóa, không gây thâm viền nướu, có độ tương thích sinh học cao, đảm bảo nướu luôn khỏe mạnh, hồng hào.
- Chế độ bảo hành: Bọc răng sứ tại Nha khoa Vân Anh luôn có chế độ bảo hành rõ ràng, minh bạch, khách hàng sẽ nhận tư vấn cụ thể trước khi điều trị
Với công nghệ Smile Design tại Nha khoa Vân Anh, bạn sẽ biết trước nụ cười tương lai của mình và yên tâm hơn trong quá trình điều trị.
Bên cạnh đó, đội ngũ bác sĩ phục hình tại Nha khoa Vân Anh có trên 10 năm kinh nghiệm lâm sàng, từng xử lý thành công hàng ngàn ca phức tạp như viêm nướu quanh răng sứ, hở viền, tụt lợi, sai khớp cắn – giúp khách hàng lấy lại sự thoải mái và tự tin khi ăn nhai.

Chăm Sóc Đúng Cách Sau Khi Bọc Sứ Để Ngăn Viêm Lợi Tái Phát
Ngay cả khi răng sứ được làm chuẩn, việc chăm sóc đúng cách vẫn đóng vai trò then chốt giúp duy trì sức khỏe nướu:
Chải răng 2–3 lần/ngày bằng bàn chải lông mềm, chuyển động nhẹ từ nướu xuống răng.
Dùng chỉ nha khoa hoặc máy tăm nước để làm sạch vùng kẽ và cổ răng sứ.
Súc miệng với dung dịch kháng khuẩn không cồn, giúp giảm mảng bám và duy trì môi trường nướu khỏe mạnh.
Khám định kỳ 6 tháng/lần tại nha khoa để kiểm tra khớp cắn, cạo vôi và làm sạch chuyên sâu quanh cổ răng sứ.
Nếu phát hiện dấu hiệu sưng đỏ, chảy máu, hôi miệng hoặc ê buốt quanh răng sứ, bạn nên đến gặp bác sĩ sớm để được kiểm tra và điều chỉnh kịp thời, tránh để viêm tiến triển nặng.
Kết Luận
Bọc răng sứ bị viêm lợi không chỉ gây mất thẩm mỹ và khó chịu mà còn là dấu hiệu cảnh báo răng – nướu đang bị tổn thương.
Hiểu rõ nguyên nhân và lựa chọn nha khoa uy tín chính là chìa khóa giúp bạn có hàm răng sứ bền đẹp, nướu khỏe và hơi thở thơm mát lâu dài.
Nếu bạn đang gặp tình trạng viêm lợi sau khi bọc răng sứ hoặc đang cân nhắc làm răng thẩm mỹ, hãy đặt lịch hẹn tại Nha khoa Vân Anh để được thăm khám, chụp phim CT Conebeam và tư vấn hoàn toàn miễn phí.












