Răng cửa ảnh hưởng đến thẩm mỹ gương mặt của chúng ta rất nhiều. Chính vì thế, nếu răng cửa gặp khuyết điểm như gãy, thưa, sứt mẻ, ố vàng… thì việc làm răng cửa để đảm bảo tính thẩm mỹ, giúp chúng ta tự tin trong giao tiếp là vô cùng quan trọng. Cùng Nha khoa Vân Anh – Nha khoa làm răng sứ nhiều nhất Bắc Ninh giải đáp thắc mắc của rất nhiều người “Chi phí bọc răng sứ răng cửa là bao nhiêu? Nên lựa chọn răng sứ nào?”
MỤC LỤC
1. Chi phí bọc răng sứ răng cửa bao nhiêu
Chi phí bọc răng sứ răng cửa phục thuộc vào tình trạng răng và loại răng sứ mà bạn lựa chọn.
Nếu bạn bị mất răng cửa và cần phục hồi lại, phương pháp trồng răng Implant chính là giải pháp tối ưu nhất. Trong trường hợp này, chi phí bọc răng sứ răng cửa sẽ giao động từ 9,9 – 16 triệu/răng.
Xem ngay: Bảng giá trồng răng implant mới nhất
Bác sĩ sẽ tiến hành trồng chân răng nhân tạo implant vào trong xương của bạn. Khi chân răng tích hợp với xương hàm, bác sĩ sẽ gắn 1 răng sứ lên chân răng. Lúc này, răng implant đã hoàn chỉnh, đảm bảo tính thẩm mỹ và khả năng ăn nhai y như răng thật.

Xem thêm: Trồng implant là gì? Những điều cần biết về trồng răng implant
Trong trường hợp răng bạn bị sứt mẻ, ố vàng hay nhiễm tetracycline, bọc răng sứ hay dán sứ veneer chính là lựa chọn tốt nhất. Lúc này, chi phí bọc răng sứ răng cửa sẽ tương đương với số răng cửa mà bạn cần làm
Dưới đây là bảng giá răng sứ tại Nha khoa Vân Anh:

Ưu đãi đặc biệt DUY NHẤT tháng này: Răng sứ venus chỉ còn 2tr8

Mỗi loại răng sứ có một mức giá khác nhau. Do chúng có điểm khác biệt về chất liệu, công nghệ và cả thương hiệu nữa. Để lựa chọn được mức giá làm răng sứ tốt nhất và phù hợp, hãy tìm hiểu thật kỹ các dòng răng sứ có chất lượng trên thị trường.
Dưới đây là chia sẻ của khách hàng dán veneer của chúng tôi
2. Nên lựa chọn bọc răng sứ răng cửa nào?
Hiện nay, trên thị trường cũng như Nha khoa Vân Anh đang có 2 dòng răng chính là răng sứ kim loại và răng toàn sứ
Răng sứ kim loại có chi phí khá rẻ, chỉ dao động từ 1.000.000 – 2.500.000 đồng/răng. Tuy nhiên loại răng này có nhược điểm lớn là khi dùng một thời gian, phần khung răng kim loại sẽ bị oxi hóa làm đen vùng nướu. Ngoài ra, màu sắc của răng sứ kim loại không tự nhiên. Khi chiếu ánh sáng dễ thấy bóng đen là ánh khung kim loại gây mất thẩm mỹ.

Tìm hiểu thêm: Trường hợp nào nên sử dụng răng sứ kim loại.
Răng toàn sứ hay răng sứ không kim loại: răng toàn sứ được chế tác bằng 100% sứ nên không lo bị đen viền nướu. Răng toàn sứ cũng có nhiều ưu điểm nổi bật như: màu sắc trong và tự nhiên, răng cứng và thời gian sử dụng lâu hơn.

Dựa trên đặc điểm trên, bạn nên lựa chọn răng toàn sứ để bọc răng cửa. Mặc dù chi phí răng toàn sứ cao hơn răng kim loại, nhưng đảm bảo tính thẩm mỹ, cứng hơn và thời gian bảo hành lâu hơn.
3. Trường hợp nào nên và trường hợp nào không nên bọc răng sứ răng cửa?
Các trường hợp nên bọc răng sứ răng cửa
Bọc răng sứ răng cửa là phương pháp phục hình răng khuyết điểm, nhằm đem lại tính thẩm mỹ cao. Đây là phương pháp dành cho những ai có răng cửa gặp vấn đề như:
- Răng cửa xỉn màu, ố vàng
Răng cửa ố vàng gây mất thẩm mỹ vì đây là vị trí dễ dàng nhìn thấy nhất. Sử dụng phương pháp bọc sứ sẽ giúp phục hồi lại màu sắc của răng.

- Răng cửa bị vỡ, mẻ, gãy
Phục hình răng sứt mẻ nhanh chóng là ưu điểm của bọc răng sứ thẩm mỹ. Ưu điểm là răng mới có độ bền cao, màu sắc hài hòa với các răng cũ giúp bạn tự tin hơn.

- Răng cửa mọc không đều, khấp khểnh
Răng khấp khểnh ảnh hưởng đến tính thẩm mỹ và khớp cắn. Trong một phạm vi khấp khểnh cho phép, bọc răng sứ giúp bạn cải thiện tình trạng răng miệng nhanh chỉ 5-7 này mà không cần chờ đến 2-3 năm như phương pháp niềng răng.
- Răng cửa bị thưa
Răng cửa bị thưa không chỉ gây mất thẩm mỹ, không tự tin trong giao tiếp mà còn tiềm ẩn hậu quả nghiêm trọng. Khe hở giữa 2 răng quá lớn sẽ khiến giắt thức ăn, lâu ngày thức ăn trong khe hở sẽ gây sâu răng, viêm chân răng….

- Răng cửa bị hô nhẹ
Răng cửa bị hô không chỉ gây mất thẩm mỹ và còn khiến sai lệch khớp cắn, ảnh hưởng đến việc ăn nhai, gây ra một số bệnh như đau nhức thái dương , sai khớp cắn…

Nếu răng bạn bị hô nhẹ, không quá nghiêm trọng thì hãy lựa chọn làm răng sứ. Phương pháp này giúp bạn tiết kiệm thời gian, công sức và đặc biệt không phải trải qua những đau đớn trong quá trình niềng răng.
Lưu ý rằng phương pháp bọc răng sứ răng cửa chỉ phù hợp với răng cửa thưa, hô hay khấp khểnh ở một mức độ nhất định. Bạn cần đến thăm khám bác sĩ để được tư vấn phương pháp phù hợp nhất với bản thân.
Các trường hợp không nên bọc răng sứ răng cửa
Trên thực tế, rất nhiều bạn không chỉ gặp vấn đề ở răng cửa mà còn nhiều vị trí khác như các răng đều xỉn màu, ố vàng… Trong trường hợp này, bạn hãy lựa chọn bọc răng sứ nguyên hàm hoặc bọc các răng lộ trên cung cười và giao tiếp của bạn để đảm bảo tính thẩm mỹ toàn diện nhất.

Ngoài ra, nếu bạn bị hô, móm, khấp khểnh, răng thưa… nặng thì không nên lựa chọn bọc răng sứ răng cửa mà hãy niềng răng. Nếu bọc răng sứ trong tình trạng răng sai lệch lớn, bạn sẽ phải mài răng nhỏ rất nhiều, ảnh hưởng đến răng thật. Niềng răng giúp bạn có hàm răng thẳng, chuẩn khớp cắn mà vẫn bảo tồn được răng thật. Nếu bạn muốn làm trắng răng sau khi niềng, bạn hoàn toàn có thể lựa chọn bọc răng sứ hoặc dán sứ veneer sau đó

Xem ngay: Răng bọc sứ có niềng được không? – Chuyên gia giải đáp
4. Địa chỉ bọc răng sứ răng cửa uy tín
Bọc răng sứ răng cửa không chỉ phụ thuộc vào răng sứ, cơ sở vật chất và tay nghề bác sĩ có vai trò vô cùng quan trọng quyết định thành công của một ca bọc răng sứ răng cửa. Lựa chọn nha khoa bọc răng sứ cần phải đáp ứng các yêu cầu sau:
- Cơ sở vật chất hiện đại, tiên tiến
- Bác sĩ nhiều kinh nghiệm
- Răng sứ chính hãng, có bảo hành
Nha khoa Vân Anh là có 3 cơ sở tại Bắc Ninh với đội ngũ bác sĩ tay nghề cao hơn 13 năm kinh nghiệm. Đến với Nha khoa Vân Anh, bạn không chỉ được thăm khám bởi bác sĩ giàu kinh nghiệm mà còn được trải nghiệm dịch vụ tiêu chuẩn với máy móc, thiết bị 4.0 tiên tiến nhất như thiết kế nụ cười với công nghệ Design Smile giúp bạn sở hữu nụ cười hoàn hảo, phù hợp với từng khuôn mặt nhất.

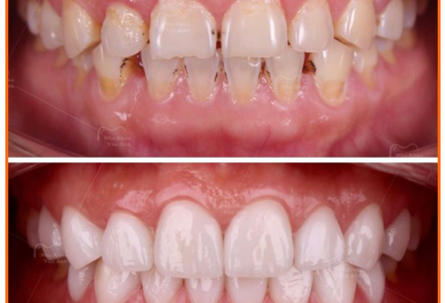
Chúng tôi luôn quan tâm đến việc đầu tư vào máy móc công nghệ, nâng cao chất lượng dịch vụ nhằm đem đến cho khách hàng sự hài lòng nhất. Chúng tôi là Nha khoa làm răng sứ nhiều nhất Bắc Ninh, vậy nên bạn có thể dễ dàng tìm thấy những trường hợp răng khuyết điểm như bạn, sự thay đổi của họ và lựa chọn dáng răng phù hợp nhất.



Xem qua một số hình ảnh khách hàng làm răng sứ tại Nha khoa Vân Anh

Nếu bạn còn thắc mắc về bọc răng sứ răng cửa thì hãy liên hệ với chúng tôi để được giải đáp và tư vấn MIỄN PHÍ!!
ĐĂNG KÝ TƯ VẤN
Thông tin liên hệ
Hotline: 0966.645.499
Giờ làm việc: 8:00 – 18:30 tất cả các ngày trong tuần
Fanpage: https://www.facebook.com/implant.nkva/
Tư vấn trực tuyến, đặt lịch hẹn: m.me/implant.nkva
Vui lòng liên hệ khi bạn có bất kỳ thắc mắc nào cần được giải đáp, đội ngũ chuyên gia của chúng tôi sẽ hỗ trợ bạn 24/7!

